Що ми лікуємо
Гідроцефалія
Гідроцефалія
Синоніми захворювання: водянка головного мозку.
Вступ
Гідроцефалія виникає при скупченні надлишкової кількості рідини в головному мозку, в більшості випадків внаслідок обструкції (закупорки), що порушує нормальне дренування рідини. Надлишкова рідина може притиснути тендітні тканини головного мозку до черепа, викликаючи ураження головного мозку і, якщо не розпочато лікування, навіть смерть.
Відома як «водянка головного мозку», гідроцефалія іноді може бути вродженою, хоча може виникнути і пізніше. Кожна 500-та дитина народжується з цим захворюванням. Перспективи для хворих з гідроцефалію залежать від терміну виявлення і від наявності супутніх захворювань.
Симптоми
Ознаки і симптоми гідроцефалії залежать від вікової групи і прогресування захворювання.
Клінічні ознаки і симптоми гідроцефалії у немовлят:
- Незвичайно велика голова
- Значне зростання окружності голови
- Випираюче тімячко у верхній частині голови
- Блювота
- Безсоння
- Дратівливість
- Конвульсії
- Зміщення очних яблук до низу
- Затримка розвитку дитини
Клінічні ознаки і симптоми гідроцефалії у старших дітей і дорослих:
- Головний біль з наступною блювотою
- Нудота
- Розфокусованість зору або двоїння в очах
- Зміщення очних яблук донизу
- Порушення рівноваги, координації або ходи
- Неповороткість або відсутність сил
- Сповільнений розвиток
- Втрата пам'яті
- Сплутаність свідомості
- Нетримання сечі
- Дратівливість
- Характерологічні зміни.
Гідроцефалія поєднує ці ознаки і симптоми в залежності від причини її виникнення, яка також розрізняється в різних вікових групах. Наприклад, стан, відомий як нормотензивна гідроцефалія (синдром Хакіма), що вражає переважно людей похилого віку, зазвичай починається з виникнення проблем c ходінням. Найчастіше розвивається нетримання сечі одночасно з деменцією, що проявляється повільністю мислення і сприйняття інформації.
Причини
Консистенція головного мозку нагадує желе, яке, наче, плаває в черепі, наповненому спинномозковою рідиною. Ця рідина також заповнює великі порожнисті структури, які називаються шлуночками і які розташовані в глибині головного мозку.
Спинномозкова рідина проходить через шлуночки, що є системою сполучених посудин та каналів. Потім рідина потрапляє в закриті простори, розташовані між головним мозком і черепом, де вона поглинається кровотоком.
Збалансовані утворення, циркуляція і поглинання спинномозкової рідини мають важливе значення для підтримання нормального тиску в черепі. Гідроцефалія розвивається тоді, коли відтік спинномозкової рідини порушений, наприклад, при звуженому каналі між шлуночками або при порушенні абсорбції рідини організмом.
Порушення абсорбції спинномозкової рідини викликає розвиток нормотензивної гідроцефалії, що найчастіше спостерігається у літніх людей. При нормотензивній гідроцефалії надлишкова рідина розширює шлуночки, але не підвищує тиск, який впливає на головний мозок. Нормотензивна гідроцефалія може виникнути внаслідок травми або захворювання, але в більшості випадків причини її виникнення невідомі.
Фактори ризику
Недоношені діти мають підвищений ризик виникнення важкої кровотечі в шлуночки головного мозку, що може призвести до гідроцефалії. Виникнення деяких проблем при вагітності, наприклад, інфекція в матці, може підвищити ризик розвитку гідроцефалії у дитини, а також ризик виникнення проблем розвитку плоду, наприклад неповне закриття хребта.
Вроджена патологія або дефекти розвитку, невидимі при народженні, також можуть підвищити ризик розвитку гідроцефалії у старших дітей. Патологічні зміни або пухлини головного чи спинного мозку, інфекції центральної нервової системи, мозкові кровотечі і серйозні травми голови також можуть підвищити цей ризик.
Коли слід звертатися до лікаря
При виникненні таких ознак або симптомів у дитини негайно зверніться до лікаря:
- Пронизливий плач
- Проблеми при смоктанні або годуванні дитини
- Прояв небажання нахиляти або рухати шиєю чи головою
- Затруднене дихання
- Судоми
- Швидке зростання розмірів голови
- Випираюче тімячко у верхній частині голови
- Зміни зовнішнього вигляду обличчя або очей
Літні люди, що мають проблеми з ходьбою, які не можна пов’язати з артритом або травмою, повинні пройти кваліфікований неврологічний огляд.
Обстеження і постановка діагнозу
Лікар може поставити діагноз вродженої гідроцефалії ненародженій дитині під час стандартного передпологового дослідження УЗД, або це захворювання може бути виявлене ще в ранньому дитинстві при регулярному вимірюванні розмірів голови, як частини спостереження за розвитком дитини. Якщо голова дитини візуально збільшилася або росте дуже швидко в порівнянні з іншими немовлятами, лікар може порекомендувати проведення УЗД голови. Якщо результати УЗД не будуть відповідати нормі, дитині потрібне додаткове обстеження.
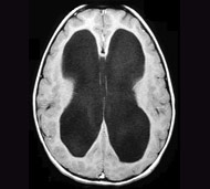
Огляд дитини або дорослої людини, у яких розвиваються ознаки або симптоми гідроцефалії, починається з ретельного збору анамнезу, фізикального і неврологічного обстеження. Комп'ютерна томографія (КТ) або магнітно-резонансна томографія (МРТ) можуть надати детальні зображення головного мозку. Якщо на цих зображеннях виявляється гідроцефалія або інша патологія, ймовірно, вам видадуть направлення на консультацію до нейрохірурга для подальшого обстеження.
Ускладнення
Тяжкість гідроцефалії залежить від віку, в якому починають розвиватися симптоми і від ступеня їх розвитку. Якщо захворювання виявлене при народженні, ймовірна наявність серйозного пошкодження головного мозку і фізична недієздатність. У менш важких випадках, при належному лікуванні, можна сподіватися на практично нормальну тривалість життя і нормальний рівень розумового розвитку.
Лікування
На ранній стадії з недугою борються медикаментами. Але якщо водянка швидко прогресує, потрібна операція. Донедавна єдиним методом боротьби з хворобою було вентрикуло-перитонеальне шунтування - введення спеціальних шунтів (системи з тоненьких силіконових трубок-катетерів та клапанів). По вказаних трубочках рідина з мозку виводиться у черевну порожнину. Так підтримують оптимальний тиск у голові та не дають ліквору текти у зворотній бік. Мінус методу – надто малий діаметр шунта. Він легко перегинається і забивається. За кілька років система може вийти з ладу, її доводиться замінювати. Операція ревізії чи заміни системи виконується невідкладно, що викликає проблеми, коли хворий знаходиться далеко від спеціалізованої клініки.
Вартість шунта - один з критеріїв його якості. Еталоном для застосування є шунти фірми Medtronic (США).
В МЦНХ освоїли новий революційний метод оперування водянки – нейроендоскопічний. Він широко застосовується на Заході, але на пострадянському просторі широко не застосовується через дорожнечу обладнання та брак досвіду лікарів.
Метод мало травматичний та надійний. На відміну від шунтування, яке триває годину-дві, операція займає всього 10-20 хвилин. У канали мозку заходять спеціальним пристроєм - нейроендоскопом, що містить міні-камеру. Зображення передається на екран і лікарі бачать, куди треба ввести інструменти, щоб відновити відтік рідини. Суть операції полягає в створенні відтоку через дно третього шлуночка у поза мозкові базальні цистерни лікворної системи. Новоутворений отвір створюють спеціальним катетером. В результаті - ліквор безперешкодно витікає з мозку, людина врятована назавжди. Більше не треба повторних операцій чи заміни деталей.
Профілактика
Спостерігайтесь під час вагітності, щоб знизити ризик передчасних пологів, які можуть підвищити ризик появи гідроцефалії та інших ускладнень у вашої дитини.
Захищайте вашу дитину від травм голови, використовуючи правильно встановлені, відповідні зросту і розміру дитини дитячі сидіння безпеки під час будь-якої поїздки на автомобілі. Перевіряйте на відповідність стандартам безпеки всі пристосування для дітей - дитяче ліжечко, ходунки, гойдалки, а також їх відповідність розмірам і рівню розвитку вашої дитини.
Уникайте інфекційно-запальних захворювань центральної нервової системи, що часто викликають гідроцефалію.











