Что мы лечим
Гидроцефалия
Гидроцефалия
Синонимы заболевания: водянка головного мозга.
Вступление
Гидроцефалия возникает при скоплении избыточного количества жидкости в головном мозге, в большинстве случаев вследствие обструкции (закупорки), что нарушает нормальное дренирование жидкости. Избыточная жидкость может придавить хрупкие ткани головного мозга к черепу, вызывая поражение головного мозга и, если не начато лечение, даже смерть.
Известная как «водянка головного мозга», гидроцефалия иногда может быть врожденной, хотя может развиться и позже. Каждый 500-тый ребенок рождается с этим заболеванием. Перспективы для больных с гидроцефалией зависят от своевременности диагностики и от наличия сопутствующих заболеваний.
Симптомы
Признаки и симптомы гидроцефалии зависят от возрастной группы и прогрессирования заболевания.
Распространенные признаки и симптомы гидроцефалии у младенцев:
- Необычно большая голова
- Опережающий рост окружности головы
- Выпуклый родничок в теменной части головы
- Рвота
- Бессонница
- Раздражительность
- Конвульсии
- Смещение глазных яблок книзу (закатывание глаз)
- Задержка в развитии
Распространенные признаки и симптомы гидроцефалии у старших детей и взрослых:
- Головная боль с последующей рвотой
- Тошнота
- Расфокусированность зрения или двоение в глазах
- Смещение глазных яблок книзу (закатывание глаз)
- Нарушение равновесия, координации или походки
- Неповоротливость или отсутствие сил
- Замедленное развитие или регрессия развития
- Потеря памяти
- Спутанность сознания
- Недержание мочи
- Раздражительность
- Личностные изменения.
Гидроцефалия сочетает эти признаки и симптомы в зависимости от причины ее возникновения, которая также различается в различных возрастных группах. Например, состояние, известное как нормотензивная гидроцефалия, которое поражает главным образом пожилых людей, обычно начинается с возникновения проблем c хождением. Зачастую развивается недержание мочи одновременно с деменцией, которую отличает медлительность мышления и восприятия информации.
Причины
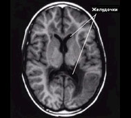
Консистенция головного мозга напоминает желе, которое, как бы, плавает в черепе со спинномозговой жидкостью. Эта жидкость также заполняет большие полые структуры, которые называются желудочками, и которые расположены в глубине головного мозга.
Спинномозговая жидкость проходит через желудочки как по взаимосвязанным сосудам и каналам. Затем жидкость попадает в закрытые пространства, расположенные между головным мозгом и черепом, где она поглощается кровотоком.
Сбалансированная выработка, циркуляция и поглощение спинномозговой жидкости имеют важное значение для поддержания нормального давления в черепе. Гидроцефалия развивается тогда, когда отток спинномозговой жидкости нарушен – например, при суженном канале между желудочками или при нарушении абсорбции жидкости организмом.
Нарушение абсорбции спинномозговой жидкости вызывает развитие нормотензивной гидроцефалии, чаще всего наблюдаемой у пожилых людей. При нормотензивной гидроцефалии избыточная жидкость расширяет желудочки, но не повышает давление, воздействующее на головной мозг. Нормотензивная гидроцефалия может возникнуть вследствие травмы или заболевания, но в большинстве случаев причины ее возникновения неизвестны.
Факторы риска
Недоношенные дети имеют повышенный риск возникновения тяжелого кровотечения в желудочки головного мозга, что может привести к гидроцефалии. Возникновение некоторых проблем при беременности, например, инфекция в матке, может повысить риск развития гидроцефалии у ребенка, а также риск возникновения проблем развития плода, например неполное закрытие позвоночника.
Врожденная патология или дефекты развития, невидимые при рождении, также могут повысить риск развития гидроцефалии у старших детей. Патологические изменения или опухоли головного и спинного мозга, инфекции центральной нервной системы, мозговые кровотечения и серьезные травмы головы также могут повысить риск.
Когда следует обращаться к врачу
При возникновении следующих признаков или симптомов у ребенка немедленно обратитесь к врачу:
- Пронзительный плач
- Проблемы при сосании или кормлении
- Проявление нежелания наклонять или двигать шеей или головой
- Затрудненное дыхание
- Судороги
- Быстрый рост головы
- Выпуклый родничок в верхней части головы
- Изменения внешнего вида лица или глаз
Пожилые люди, имеющие проблемы с ходьбой, которые нельзя отнести к артриту или травме, должны пройти квалифицированный неврологический осмотр
Обследование и постановка диагноза
Врач может поставить диагноз врожденной гидроцефалии не рожденному ребенку во время стандартного предродового исследования УЗИ, или это заболевание может быть выявлено в младенчестве или в раннем детстве при регулярном измерении размеров головы, как части наблюдения за развитием ребенка. Если голова ребенка визуально увеличилась или растет слишком быстро по сравнению с другими младенцами, врач может рекомендовать проведение УЗИ головы. Если результаты УЗИ не будут соответствовать норме, младенцу потребуется проведение дальнейших обследований.
Осмотр ребенка или взрослого человека, у которых развиваются признаки или симптомы гидроцефалии, начинается с тщательного сбора анамнеза, физикального и неврологического обследования. Компьютерная томография (КТ) или магнитно-резонансная томография (МРТ) могут предоставить подробные изображения головного мозга. Если на этих изображениях выявляется гидроцефалия или другая патология, вероятно, вам выдадут направление на консультацию к нейрохирургу для дальнейшего обследования.
Осложнения
Тяжесть гидроцефалии зависит от возраста, в котором начинают развиваться симптомы, и от степени их развития. Если заболевание выявлено при рождении, вероятно наличие серьезного повреждения головного мозга и физическая недееспособность. В менее тяжелых случаях, при должном лечении, можно надеяться на практически нормальную длительность жизни и нормальный уровень умственного развития.
Лечение
На ранней стадии заболевания используют медикаментозное лечение. Но если водянка быстро прогрессирует, нужна операция. До недавнего времени единственным методом борьбы с болезнью было вентрикуло-перитонеальное шунтирование - введение специальных шунтов (системы из тонких силиконовых трубок-катетеров и клапанов). По указанным трубочкам жидкость из мозга выводится в брюшную полость. Так поддерживают оптимальное давление в голове и не дают ликвору течь в обратную сторону. Минус метода - слишком малый диаметр шунта. Он легко перегибается и забивается. За несколько лет система может выйти из строя, ее приходится заменять. Операция ревизии или замены системы должна выполняться безотлагательно, что вызывает проблемы, когда больной находится далеко от специализированной клиники.
Высокая стоимость шунта – косвенный признак качества его изготовления. Лучшими признаны шунты фирмы Medtronic (США).
В МЦНХ освоили новый революционный метод оперирования водянки - нейроэндоскопический. Он широко применяется на Западе, но на постсоветском пространстве применяется редко из-за дороговизны оборудования и недостаточного опыта врачей.
Метод малотравматический и надежный. В отличие от шунтирования, которое длится час-два, операция занимает всего 10-20 минут. В каналы мозга заходят специальным устройством - нейроэндоскопом, содержащим мини-камеру. Изображение передается на экран и врачи видят, куда надо вести инструменты, чтобы восстановить отток жидкости. Суть операции заключается в создании оттока через дно третьего желудочка во внемозговые цистерны ликворной системы. Новообразованное отверстие создают специальным катетером. В результате - ликвор беспрепятственно вытекает из мозга, человек спасен навсегда. Больше не надо повторных операций или замены деталей.
Профилактика
Наблюдайтесь во время беременности, чтобы снизить риск преждевременных родов, которые повышают риск появления гидроцефалии и других осложнений у вашего ребенка.
Защищайте вашего ребенка от травм головы, используя правильно установленные, соответствующие возрасту и размеру ребенка детские сидения во время любой поездки на автомобиле. Проверяйте на соответствие стандартам безопасности все приспособления для детей – детскую кроватку, ходунки, качели, а также их соответствие размерам и уровню развития вашего ребенка.
Избегайте инфекционно-воспалительных заболеваний центральной нервной системы – частой причины гидроцефалии.
Тематические статьи












