Що ми лікуємо
Внутрішньочерепна гематома
Внутрішньочерепна гематома
Синоніми захворювання: гематома голови, гематома головного мозку, крововилив в мозок, крововилив в голову.
Вступ
Хоча травми голови можуть бути незначними, внутрішньочерепні гематоми є серйозними і потенційно загрозливими життю станами, які часто вимагають негайного лікування.
Головний мозок знаходиться всередині черепа, оточений рідиною, яка захищає його від поштовхів при звичайних рухах. Але іноді рідина не в змозі нейтралізувати силу раптового удару або швидкої зупинки. У такій ситуації головний мозок різко струшується і з силою вдаряється в стінку черепа, внаслідок чого може відбутися забій мозку.
Внутрішньочерепна гематома розвивається при розриві кровоносної судини в головному мозку або між черепом і головним мозком. Скупчення крові (гематома) здавлює тканини головного мозку.
Лікування внутрішньочерепної гематоми часто вимагає проведення операції з видалення гематоми. Однак, невелика за розміром внутрішньочерепна гематома не завжди вимагає операції.
Симптоми
Ознаки і симптоми внутрішньочерепної гематоми можуть розвиватися через той чи інший проміжок часу після травми або безпосередньо після неї. З часом тиск на головний мозок зростає, викликаючи деякі або всі перелічені нижче ознаки і симптоми:
- головний біль;
- нудота;
- блювота;
- сонливість;
- запаморочення;
- сплутаність свідомості;
- уповільнена мова або втрата мови;
- різниця величини зіниць;
- слабкість в кінцівках з одного боку тіла.
При великій кількості крові, яка заповнює мозок, через нестачу простору між головним мозком і черепом, можуть виявитися інші ознаки і симптоми, наприклад:
- летаргія;
- судоми;
- кома.
Причини
Причиною внутрішньочерепної кровотечі (крововиливу) є травма голови, часто внаслідок авто- чи мотоаварії, або часом незначного удару в голову. У людей похилого віку навіть легка травма голови може викликати гематому. Наявність відкритої рани, синця або іншої зовнішньої ознаки не обов'язкова.
У результаті травми голови може виникнути cубдуральна, епідуральна або внутрішньомозкова гематома.
Субдуральна гематома
Ця гематома розвивається при розриві кровоносних судин - зазвичай вен - між головним мозком і твердою мозковою оболонкою (зовнішньою з трьох оболонок, що покривають головний мозок). Кров, що виливається, утворює гематому, яка здавлює тканини головного мозку. Якщо гематома збільшується, відбувається прогресивне згасання свідомості, що може призвести до смерті.
Існує три типи субдуральних гематом.
- Гостра. Це найсерйозніша і потенційно загрозлива гематома. Зазвичай вона з'являється внаслідок тяжкої травми голови, її ознаки та симптоми виявляються відразу ж.
- Підгостра. При підгострій субдуральній гематомі ознаки і симптоми з'являються пізніше, звичайно через кілька годин.
- Хронічна. Менш тяжкі травми голови можуть викликати появу хронічної субдуральної гематоми. Кровотеча внаслідок хронічної субдуральної гематоми може бути слабшою, симптоми проявляються через кілька днів, тижнів або навіть місяців.
Всі три типи гематом вимагають надання медичної допомоги при першому ж прояві симптомів і ознак, інакше гематома може призвести до незворотнього ураження головного мозку. Ризик субдуральної гематоми підвищується в осіб, що приймають аспірин або антикоагулянти, у алкоголіків, в дуже молодих людей або людей похилого віку.
Епідуральна гематома
Цю гематому також називають екстрадуральною, вона розвивається при розриві кровоносної судини - зазвичай артерії - між зовнішньою поверхнею твердої мозкової оболонки і черепом. Часто пошкодження кровоносної судини відбувається внаслідок перелому черепа. Кров витікає між твердою мозковою оболонкою і черепом, утворює масу, яка здавлює тканини головного мозку.
Ризик смерті від епідуральної гематоми є значним, якщо швидко не почати лікування. Деякі пацієнти з подібним видом травми можуть залишатися у свідомості, але більшість перебувають у сонному або коматозному стані з моменту отримання травми.
Епідуральні гематоми більш поширені у дітей та підлітків. Найчастіше вони є результатом авто- чи мотоаварії та інших травматичних подій.
Внутрішньомозкова гематома
Цей тип гематоми розвивається при проникненні крові в головний мозок. Після травми голови можуть виникнути численні важкі внутрішньомозкові гематоми. Травма, яка призвела до появи такої гематоми, часто викликає ураження з пошкодженням білої речовини. Такі пошкодження розвиваються після того, як травма буквально розриває нейрити в білій речовині головного мозку. Нейрити - це з'єднання, що передають електричні імпульси або повідомлення від нейронів головного мозку до решти частин організму. При втраті даного з'єднання можуть з'явитися серйозні пошкодження головного мозку, тому що нейрони більше не можуть взаємодіяти.
Травма - не єдина причина внутрішньомозкових гематом.
До інших причин відносяться:
- пошкодження кровоносних судин, наприклад, артеріовенозна мальформація або аневризма;
- тривала гіпертензія;
- неврологічні захворювання, наприклад, церебральна амілоїдна ангіопатія;
- пухлини головного мозку;
- захворювання печінки;
- прийом антикоагулянтів;
- деякі аутоімунні захворювання;
- захворювання крові, наприклад, гемофілія, лейкемія і серповидно-клітинна анемія.
Коли слід звертатися до лікаря
Внутрішньочерепна гематома може загрожувати життю. Часто необхідним є отримання екстренної медичної допомоги.
Після будь-якого значного удару головою з втратою свідомості або при появі будь-яких ознак і симптомів, які можуть вказувати на наявність внутрішньочерепної гематоми, слід звернутися до лікаря. Хоча симптоми внутрішньочерепної гематоми можуть проявитися не відразу, уважно спостерігайте за подальшими змінами фізичного, розумового та емоційного стану хворого.
Крім цього, повідомте родичів або близького друга про отримання будь-якої травми голови. Оскільки втрата пам'яті часто супроводжує травму голови, ви можете забути, що отримали травму. Попереджений родич, друг чи колега по роботі швидше помітить загрозливі ознаки і організує надання швидкої медичної допомоги, якщо буде знати про те, що з вами сталося.
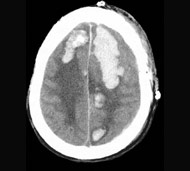
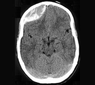
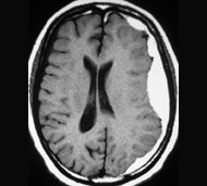
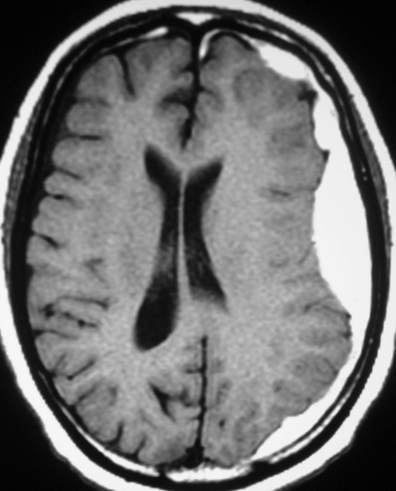
Обстеження і постановка діагнозу
Діагностування гематоми може бути складним. Однак лікарі в основному припускають, що прогресуюча втрата свідомості після травми голови викликається крововиливом в череп, якщо не доведено інше. Кращий спосіб визначити локалізацію і розмір гематоми - це візуалізація.
Вона включає такі методи, як:
- комп'ютерна томографія (КТ). Для отримання зрізів КТ застосовується сучасний рентген-апарат, підключений до комп'ютера для виконання детальних зображень головного мозку.
- магнітно-резонансна томографія (MРТ). Зрізи МРТ отримують з використанням великого магніту і радіохвиль, які виробляють комп'ютерні зображення. Під час МРТ пацієнт лежить на рухомому столі, який вводиться в трубу або тунель.
Виконання КТ та МРТ є безболісним обстеженням.
Лікування
Лікування гематоми часто вимагає проведення операції. Вид операції залежить від характеру гематоми.
Варіанти операцій:
- Накладання фрезьового отвору. Якщо кров локалізована і не надмірно згортається, лікар може просвердлити отвір у черепі (перфорація) і прибрати рідину за допомогою відсмоктування.
- Трепанація. При великих гематомах може знадобитися трепанація (краніотомія, краніоектомія) частини черепа для видалення гематоми.
Деякі субдуральні гематоми не потребують видалення, оскільки вони невеликі за розміром і не викликають появи ознак або симптомів. Лікарі можуть призначити лікарські препарати, наприклад, кортикостероїди і сечогінні засоби, щоб контролювати набряк мозку після травми голови.
Реабілітація
Після операції лікар може призначити протисудомні препарати з метою контролю або профілактики післятравматичних судом. Судоми можуть початися навіть через 24 місяці після отримання травми. Можуть з'явитися і тривати протягом деякого часу амнезія, порушення уваги, тривога і головний біль.
Відновлення після внутрішньочерепної гематоми може бути тривалим і неповним. У дорослих відновлення займає шість місяців після травми. Діти зазвичай відновлюються швидше і більш повно, ніж дорослі. Терпіння - це ключ до адаптації після травм головного мозку.
Наступні поради можуть допомогти більш швидкому відновленню:
- Більше спіть вночі і відпочивайте протягом дня.
- Поступово повертайтеся до нормальної діяльності, не робіть цього одразу ж.
- Уникайте діяльності, яка може призвести до другої травми голови, наприклад, не займайтеся контактними та активними видами спорту, поки лікар вам не повідомить, що ви досить добре себе почуваєте, щоб брати участь у цих видах діяльності.
- Запитайте у лікаря, коли ви зможете повернутися до занять спортом, водіння автомобіля, катання на велосипеді та управління іншим устаткуванням або приладами. Ваша реакція може бути порушена.
- Приймайте тільки ті препарати, які призначив ваш лікар.
- Не вживайте алкоголь до повного одужання. Алкоголь може перешкоджати відновленню, піддаючи ризику отримання ще однієї травми.
- Записуйте ту інформацію, яку вам складно запам'ятати.
- Звертайтесь до членів сім'ї чи близьких друзів перед тим, як приймати важливі рішення.









