Що ми лікуємо
Травма хребта та спинного мозку
Травма хребта та спинного мозку
Синоніми захворювання: перелом хребта, перелом спини, перелом шиї, травма пірнальника, травма хребта, травма спини, травма шиї, спінальна травма, хребетно – спинномозкова травма.
Вступ
Більша частина пошкоджень спинного мозку викликає втрату чутливості нижче місця ураження і здатності рухатися (параліч) або постійну недієздатність. Параліч, що зачіпає велику частину тіла, включаючи руки та ноги, називається тетраплегією. Коли враження спинного мозку зачіпає тільки нижню частину тіла, кажуть про параплегію.
Симптоми
Симптоми пошкодження спинного мозку залежать від двох факторів:
- Розташування пошкодження. Загалом, пошкодження верхніх відділів спинного мозку обумовлює більший за обсягом параліч. Наприклад, пошкодження верхніх шийних відділів спинного мозку може викликати параліч обох рук і обох ніг, пацієнт може дихати лише за допомогою апарату штучного дихання, тоді як пошкодження, розташовані нижче, можуть вразити тільки ноги і нижню частину тіла.
- Ступінь тяжкості пошкодження. Пошкодження спинного мозку бувають частковими або повними, це залежить від того, яка частина спинного мозку була вражена.
При частковому пошкодженні спинного мозку, яке ще називають частковою травмою, спинний мозок може передавати деякі повідомлення в головний мозок і з нього. Тому, пацієнти з частковим пошкодженням спинного мозку володіють деякою чутливістю і, можливо, деякими моторними функціями нижче ураженої ділянки.
Повне пошкодження спинного мозку проявляється повною або практично повною втратою моторної функції і чутливості нижче ділянки пошкодження. Однак, навіть при повному пошкодженні спинний мозок майже ніколи не є повністю перерізаним. Лікарі застосовують термін «повне», щоб описати велику площу враження спинного мозку. Це важлива відмінність, тому що багато пацієнтів з частковими враженнями спинного мозку можуть відновитися, тоді як пацієнти з повними пошкодженнями - не можуть.
Пошкодження спинного мозку будь-якого виду можуть призвести до появи одного або більше ознак і симптомів:
- Біль або інтенсивна печія, викликані враженням нервових волокон в спинному мозку;
- Втрата здатності рухатися;
- Втрата чутливості, включаючи здатність відчувати тепло, холод і дотик;
- Втрата контролю над роботою кишечника і сечового міхура;
- Надмірна рефлекторна активність або спазми;
- Зміни сексуальної функції, сексуальної чутливості і дітородної функції;
- Утруднене дихання, кашель або відкашлювання секрету з легенів.
Критичні ознаки і симптоми
Критичні ознаки та симптоми пошкодження спинного мозку після травми голови або нещасного випадку включають:
- Періодичну втрату свідомості;
- Сильний біль у спині або відчуття тиску в ділянці шиї, голови або спини;
- Слабкість, втрата координації або параліч будь-якої частини тіла;
- Оніміння, поколювання або втрата чутливості в кистях, пальцях рук, ступнях або пальцях ніг;
- Втрата контролю над роботою кишечника і сечового міхура;
- Проблеми з рівновагою і ходінням;
- Утруднене дихання після травми;
- Неправильне або викривлене положення шиї і спини.
Причини
Спинний і головний мозок разом складають центральну нервову систему, яка управляє більшістю функцій організму. Спинний мозок має довжину приблизно 38-43 см, він складається з довгих нервових волокон, що передають імпульси в головний мозок і з нього. Ці нервові волокна входять в корінці нервів, які виступають між хребцями (33 кістки, що оточують спинний мозок і утворюють хребет). Саме там нервові волокна розбиваються на периферичні нерви, які тягнуться до інших частин тіла.
Пошкодження може бути травматичним і нетравматичним
- Травматичне пошкодження спинного мозку може виникнути внаслідок раптового, травмуючого удару хребта, який ламає, зміщує, руйнує або здавлює один або більше хребців. Таке враження може також бути результатом вогнепального або ножового поранення спинного мозку. Додаткове пошкодження зазвичай проявляється через кілька днів або тижнів внаслідок кровотечі, набряку, запалення і скупчення рідини в спинному мозку і навколо нього.
- Нетравматичне пошкодження спинного мозку може бути викликане артритом, раком, порушенням роботи кровоносних судин або кровотечею, запаленням, інфекціями або дегенеративними захворюваннями хребта.
Ураження нервових волокон
Незалежно від того, чи є пошкодження травматичним або нетравматичним, воно впливає на нервові волокна, що проходять через уражену ділянку і може порушити роботу частини або всіх відповідних м'язів і нервів, розташованих нижче місця враження. Пошкодження хребта виникають найчастіше в ділянці шиї (цервікальні) і в нижній частині спини (торакальні і поперекові). Торакальні та поперекові пошкодження можуть вразити ноги, вплинути на контроль над роботою кишечника і сечового міхура і на сексуальну функцію. Пошкодження шийного відділу може вплинути на дихання, а також на рухи у верхніх і нижніх кінцівках.
Спинний мозок закінчується біля нижнього краю першого поперекового хребця. Пошкодження нижче цього хребця не зачіпають спинний мозок. Однак травма цієї ділянки спини або тазу може пошкодити нервові корінці в цій області і викликати втрату функції ніг, а також проблеми з контролем над роботою кишечника і сечового міхура, а також порушення сексуальних функцій.
Коли слід звертатися до лікаря
Пошкодження спинного мозку не завжди є явним. Оніміння або параліч можуть проявитися відразу ж після пошкодження спинного мозку або з часом, внаслідок кровотечі або набряку в спинному мозку або навколо нього. У будь-якому випадку час між отриманням травми і початком лікування є критичним фактором, який може визначити розмір ускладнень і рівень можливого відновлення.
Будь-яка людина, котра перенесла травму голови або шиї, потребує негайного медичного огляду, щоб виявити можливість ушкодження спинного мозку. Найбезпечніший спосіб - це припустити, що у потерпілого є ушкодження спинного мозку, поки не доведено протилежне.
При підозрі на травму спини або шиї потерпілого не можна рухати.
Обстеження та постановка діагнозу
Працівники швидкої допомоги до встановлення точного діагнозу повинні знати принципи надання допомоги потерпілим, які перенесли травматичне ушкодження голови, шиї і тулуба з урахуванням можливого пошкодження спинного мозку або нестабільності хребта. Важлива дія під час початкового етапу лікування - іммобілізація хребта.
Запобігання подальшому пошкодженню
Іммобілізація хребта може запобігти пошкодженню хребта або погіршенню стану вже отриманої травми. Тому, персонал швидкої допомоги проходить навчання, як надавати допомогу потерпілому, не рухаючи його шию і спину. Медпрацівники використовують тверді комірці, що надягають на вражену шию, і кладуть потерпілого на тверду дошку, поки не проведений повний огляд.
У приймальному відділенні лікар зможе виключити пошкодження спинного мозку, обережно оглянувши хворого, перевіривши його сенсорні й рухові функції і розпитавши про нещасний випадок. Але, якщо постраждалий скаржиться на біль в області шиї, знаходиться в непритомному стані або має явні ознаки слабкості кінцівок або інші неврологічні прояви, необхідно провести екстренні додаткові обстеження для постановки діагнозу.
Ці обстеження включають:
- Рентгенографію. Медпрацівники зазвичай проводять рентгенографію всім травмованим, у кого є підозра на пошкодження спинного мозку. Рентген може виявити проблеми з хребцями, пухлини, переломи або дегенеративні зміни в хребті.
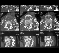
- Комп'ютерну томографію (КТ). КТ може надати краще зображення патології, видимої на рентгенівських знімках. Цей вид обстеження використовує комп'ютер, щоб відтворити серію зображень поперечного перерізу, які можуть виявити проблеми, пов'язані з кістками, дисками і інші.
- Магнітно-резонансна томографія (МРТ). МРТ використовує магнітну силу і радіохвилі, щоб відтворити зображення, отримані через комп'ютер. Це допомагає в ситуаціях, коли необхідно розглянути спинний мозок і виявити грижу міжхребцевого диску, згустки крові і інші утворення, які можуть здавлювати спинний мозок. Але МРТ не можна проводити пацієнтам з серцевими водіями ритму або постраждалих, яким необхідна апаратура, що підтримує життєдіяльність організму чи пристосування для витягування шийного відділу хребта.
- Мієлографію. Мієлографія дозволяє лікарю візуалізувати нерви хребта більш чітко. Після введення контрастної речовини в хребетний канал на рентгенівських знімках або КТ хребців можна виявити грижі міжхребцевого диска або пухлини. Цей тест застосовується, коли проведення МРТ є неможливим або коли мієлографія може надати важливу додаткову інформацію, яку неможливо отримати при проведенні інших досліджень.
Але постановка діагнозу на цьому не припиняється. Через кілька днів після пошкодження лікар проведе неврологічне обстеження, щоб визначити ступінь важкості ушкодження і визначити ймовірну тривалість відновлення. Може знадобитися проведення додаткової рентгенографії, МРТ або інших методів обстеження.
Ускладнення
Якщо ви недавно перенесли травму спинного мозку, то це може призвести до багатьох життєвих проблем. У будь-якому випадку, адаптація до життя з інвалідністю, частіше в інвалідному кріслі - нелегке завдання.
Ймовірно, після травми вас сповнюватиме безліч думок та емоцій. Ви будете стурбовані тим, як травма вплине на ваш спосіб життя, ваше фінансове положення і ваші особисті плани і відносини. Прикрість і емоційний стрес є нормальними і звичайними для такої ситуації. Однак, якщо ваше горе і смуток впливають на ваш догляд за собою, змушують вас відгородитися від інших людей і схиляють до зловживання алкоголем чи наркотиками - прийшов час звернутися за допомогою.
Інші ускладнення після пошкодження спинного мозку:
- Проблеми, пов'язані з сечовиділенням.
- Складнощі з випорожненням кишечника.
- Пролежні.
- Тромбоз глибоких вен і емболія легеневої артерії.
- Проблеми з легенями і диханням.
- Вегетативна дизрефлексія.
- Спастика м'язів.
- Проблеми контролю ваги.
- Сексуальна дисфункція.
- Біль. Ви можете відчувати біль як результат пошкодження спинного мозку або інших частин організму під час нещасного випадку. Відчуття болю може з'явитися в ділянках тіла, що мають невелику чутливість або там, де вона відсутня. Ви також можете відчувати біль від тривалої роботи м'язів одного боку тіла. Наприклад, у багатьох пацієнтів розвивається тендиніт плеча від ручного управління інвалідним кріслом протягом тривалого часу. Будь-який різновид болю може мати негативний вплив на повсякденне життя. Лікарські препарати та зміни, внесені у види діяльності, можуть полегшити біль.
- Нові пошкодження. Маючи пошкодження спинного мозку, ви стаєте сприйнятливим до ушкоджень будь-якої частини організму з порушеною чутливістю. Ви можете отримати опік або порізатися, не усвідомлюючи цього. Прийміть міри для запобігання отриманню нових травм, перевіряйте своє тіло на наявність порізів або пролежнів, які можуть вимагати надання медичної допомоги.
Лікування
П'ятдесят років назад пошкодження спинного мозку зазвичай було фатальним. У той час більшість травм були важкими, часто траплялося повне пошкодження спинного мозку, а в наявності були невеликі можливості для лікування.
Сьогодні все ще не існує способу викликати зворотний розвиток ураження спинного мозку. Але сучасні травми звичайно менш значні, вони є частковими травмами спинного мозку. І досягнення минулих років внесли сприятливі зміни в схему одужання постраждалих з пошкодженнями спинного мозку і значно знизили кількість часу, який ті, що вижили, повинні проводити в лікарні. Дослідники розробляють нові методики лікування, включаючи інноваційні види лікування, методи протезування та лікарські препарати, що сприяють регенерації нервових клітин або поліпшують функції нервів, що залишилися після пошкодження спинного мозку.
А поки що, лікування пошкодження спинного мозку спрямоване на запобігання отримання додаткових травм та надання пацієнтам з пошкодженням спинного мозку можливості повернутися до активного і продуктивного життя в межах їх інвалідності. Все це потребує невідкладної медичної допомоги та постійного догляду.
Надання невідкладної медичної допомоги
Невідкладна медична допомога має вирішальне значення для зменшення віддалених наслідків будь-якої травми голови або шиї. Тому, лікування ушкодження спинного мозку часто починається на місці події.
Якщо ви отримали травму голови або шиї, ймовірно, вас почне лікувати медперсонал швидкої допомоги, який займеться вирішеннням трьох важливих проблем:
- Підтримка вашої здатності дихати;
- Виведення з шоку;
- Іммобілізація шиї для запобігання подальшого ушкодження спинного мозку.
Медперсонал швидкої допомоги використовує для фіксації хребта жорсткі комірці для шиї і тверду дошку, на якій вас будуть транспортувати до лікарні.
У приймальному відділенні лікарі займуться стабілізацією вашого кров'яного тиску, дихання і положення шиї, намагатимуться уникнути подальших ускладнень, таких як затримка сечі та калу, утруднене дихання або проблеми з роботою серця і судин, утворення кров'яних згустків в глибоких венах кінцівок. Вам можуть ввести седативні засоби, щоб ви не рухалися і не завдали собі великих пошкоджень під час проходження діагностичних тестів.
За наявності ушкодження спинного мозку вас госпіталізують у відділення інтенсивної терапії для проведення лікування. Вас можуть перевести в центр, який займається травмами хребта, в якому працює група нейрохірургів, хірургів- ортопедів, фахівців з травм спинного мозку, психологів, медсестер, терапевтів та соціальних працівників, які мають досвід роботи з травмами спинного мозку.
Ранні етапи лікування
На ранніх етапах параплегії або тетраплегіі лікування включає:
- Медикаментозне лікування. Прийом метилпреднізолону (солюмедролу) - це варіант лікування при гострому ушкодженні спинного мозку. Цей кортикостероїд викликає деяке відновлення у пацієнтів з пошкодженням спинного мозку, якщо його прийняти протягом 8 годин після отримання травми. Метилпреднізолон знижує обсяг пошкодження нервових клітин і зменшує запалення близько місця ураження.
- Іммобілізація. Можливо, вам потрібно накласти скелетний витяг, щоб стабілізувати хребет і привести його в належний стан під час лікування. У деяких випадках може допомогти жорсткий комір для шиї.
- Операція. Часто необхідно проведення термінової операції, щоб видалити фрагменти кісток, сторонні тіла, грижу міжхребцевого диска або зламані фрагменти хребця, що здавлюють вміст хребетного каналу. Операція також може знадобитися для стабілізації хребта, щоб запобігти появі болю або деформації. Існують деякі протиріччя щодо кращого часу проведення операції. Деякі хірурги вважають, що її необхідно виконувати раніше, інші вважають, що безпечніше почекати кілька днів до проведення будь-якої операції. Науково обгрунтованих доказів переваг ранніх (ургентних) операцій не отримано.
Зусилля нейрохірургів при лікуванні травм спинного мозку не мають вирішального впливу на прогноз патології. Навіть найбільш важкі операції з використанням найсучаснішого обладнання не завжди відновлюють втрачені функції. Зазвичай лікування дає позитивні результати, але діапазон може бути широким: від суб'єктивного поліпшення до повноцінного одужання. Операції підлягають 50% хворих, іншим доводиться лікуватися консервативно.
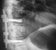
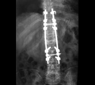
Мета операції - стабілізація хребта металевими конструкціями (імплантантами). Наша клініка була першою в СНД, яка застосувала сучасні конструкції при переломах хребта. Нині ми використовуємо імпортні конструкції типу CD Horison Legacy (США), Atlantis (США), Sextant (США), Socore (Франція). Операції вимагають складної рентгенівської техніки та спеціального інструментарію. При неускладнених переломах хребта хворі можуть ходити після таких операцій уже на другий - третій день. Також в Міжнародному центрі нейрохіургіі вперше в Україні впроваджено метод мініінвазивних операцій при переломах хребта.
Догляд за травмованими
Після стабілізації первинної травми або захворювання, лікарі звертають увагу на проблеми, які можуть виникнути внаслідок іммобілізації, наприклад, погіршення фізичного стану, м'язові контрактури, наявність пролежнів, інфекції сечовивідних шляхів і тромбоутворення. Ранній догляд буде включати рухові вправи для паралізованих кінцівок, допомогу у виконанні функцій кишечника і сечового міхура, розтирання шкіри і використання м'яких покриттів і приладдя, в т.ч. спеціальних матраців для попередження пролежнів.
Госпіталізація може тривати від кількох днів до кількох тижнів, в залежності від причини і ступеня паралічу і результату лікування. Але лікування не припиняється після виписки зі стаціонару.
Реабілітація
Під час перебування в лікарні з вами працюватиме реабілітаційна група, щоб поліпшити роботу м'язової сили, що залишилася, і забезпечити вам найбільш можливу рухливість і незалежність.
Під час початкового етапу реабілітації фізіотерапевти приділяють велику увагу відновленню сили рук і ніг, руховим навикам і навчанню адаптаційним методам для виконання повсякденних завдань. Програма звичайно включає фізичні вправи, а також навчання використанню медичних пристроїв, які будуть вам допомагати, наприклад, інвалідний візок або обладнання, яке може полегшити набір телефонного номера та інше.
Терапія зазвичай починається в лікарні і продовжується в реабілітаційному закладі. Під час терапії ви і члени вашої родини отримаєте консультації та допомогу з різних питань: від проблем інфікування сечовивідних шляхів, проблем зі шкірою до облаштування вашого будинку і машини, щоб допомогти вам адаптуватися до інвалідності. Терапевти будуть заохочувати вас повернутися до ваших улюблених хобі, до участі у спортивних заходах та на роботу, якщо це можливо. Вони навіть допоможуть визначити, які допоміжні пристосування можуть вам знадобитися для професійної та оздоровчої діяльності і навчать вас користуватися ними.
Медикаментозне лікування. Вам можуть допомогти лікарські препарати, які полегшують ознаки, симптоми і ускладнення після ушкодження спинного мозку. До них відносяться препарати, що знімають біль і спазми м'язів, а також препарати, які поліпшують контроль за роботою сечового міхура, кишечника і сексуальних функцій. Час від часу вам можуть знадобитися препарати короткочасної дії, наприклад антибіотики для лікування інфекції сечовивідних шляхів.
Інші методики. Нові медичні пристосування можуть допомогти хворим з пошкодженнями спинного мозку стати більш незалежними та більш мобільними. До них відносяться:
Сучасні інвалідні візки. Поліпшені, полегшені інвалідні візки роблять хворих з пошкодженням спинного мозку більш рухливими, вони почувають себе більш комфортно. Деякі інвалідні візки можуть навіть підніматися по сходах, переїжджати через бордюр і піднімати пасажира, щоб він міг потрапити до високо розташованого місця без допомоги.
Реадаптація житла. Конструктивні зміни у вашому будинку для полегшення обслуговування і самообслуговування потерпілого з ураженням хребта і спинного мозку.
Трудотерапія. Комплекс заходів, націлений на освоєння професійних навичок та працевлаштування інвалідів.
|
Краніовертебральна травмаТравми шийного відділу хребтаТравми грудного відділу хребтаТравми поперекового відділу |


















