Что мы лечим
Аномалии развития позвоночника и спинного мозга
Аномалии развития позвоночника
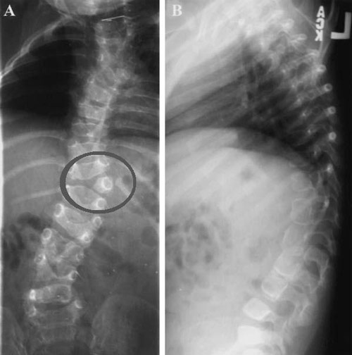
Полупозвонки (клиновидные позвонки) - врожденная патология, при которой развивается только половина позвонка, что ведет к искривлению позвоночника.
Эта патология не поддается консервативному лечению. Полупозвонки требуют хирургического удаления в возрасте 3-5 лет; это позволяет избежать формирования сколиоза. Если полупозвонки не удалены, то операция возможна в подростковом возрасте с использованием методики Котреля - Дюбуссе - Ленке.
Сегментированный позвоночный столб (неполный блок позвонков) формируется при частичном слиянии боковых частей нескольких позвонков. Патология ведет к неминуемой деформации позвоночника, которую можно предупредить операциями c вживлением „растущей” металлической конструкции до периода полового созревания. Лечения корсетами не эффективно.
Полный блок позвонков, как правило, не ведет к развитию деформации позвоночника, но в зрелом возрасте ведет к дегенеративным изменениям в соседних межпозвоночных дисках.
Ахондроплазия позвоночника ведет к развитию стеноза канала позвоночника, который часто требует хирургической коррекции.
Синостозы ребер (срастание ребер) часто ведут к развитию деформации позвоночника, которая иногда требует удаления синостоза или коррекции искривления позвоночника.
Врожденный кифоз (болезнь Шейермана – Мау) связан с расположением рядом клиновидних позвонков в грудном отделе позвоночника, что вызывает формирование вертебрального кифоза. Болезнь требует хирургической коррекции при выраженном нарушении осанки с наличием горба.
Spina bifida – патология развития позвоночника, часто сочетающаяся с грыжей оболочек спинного мозга, которые выбухают через дефект позвонков. Эта патология часто сопровождается дисплазией (недоразвитием) спинного мозга. Заболевание возникает еще на 3 – 4-й неделе внутриутробного развития и представляет собой неполное закрытие нервной трубки. Кроме того, позвонки над открытой частью спинного мозга сформированы не полностью.








