Что мы лечим
Рассеянный склероз
Рассеянный склероз
Рассеянный склероз, Симптомы рассеянного склероза, Диагностика рассеянного склероза, Лечение рассеянного склероза.
Вступление
Рассеянный склероз заболевание, при котором иммунная система человека разрушает защитную оболочку, покрывающую нервы (миелиновая оболочка). Данный процесс нарушает взаимосвязи между мозгом и остальными частями тела. В конечном итоге повреждаются сами нервы, а это необратимый процесс.
Симптомы рассеянного склероза различаются в зависимости от степени и места повреждения нервной системы. В тяжелых случаях больные с диагнозом рассеянный склероз могут утратить возможность ходить и говорить. Диагностика рассеянного склероза затруднена на ранних стадиях, поскольку симптомы заболевания могут появляться и исчезать – иногда даже на месяцы.
Лечение рассеянного склероза пока не разработано, тем не менее, уже сейчас можно предотвратить обострение заболевания, изменить течение болезни и облегчить симптомы.
Симптомы
Признаки и симптомы рассеянного склероза могут значительно варьировать в зависимости от локализации поврежденных нервных волокон. Среди симптомов рассеянного склероза называют следующие:
- Онемение или слабость одной или нескольких конечностей, как правило, с одной стороны или всей нижней части тела.
- Частичная или полная потеря зрения, обычно на один глаз, зачастую сопровождающаяся болью при движении глаза (ретробульбарный неврит).
- Двоение или размытость контуров
- Покалывание или боль в разных частях тела
- Ощущения электрошока при определенных движениях головы
- Нервная дрожь, проблемы с координацией движений или неуверенная походка
- Повышенная утомляемость
- Головокружение
Многие больные рассеянным склерозом, особенно на начальных стадиях болезни, испытывают рецидивы симптомов, которые сопровождаются периодами полной или частичной ремиссии. Признаки и симптомы рассеянного склероза зачастую появляются или усиливаются при повышении температуры тела.
Причины
Точные причины возникновения рассеянного склероза неизвестны. Считается, что это аутоиммунное заболевание, при котором иммунная система разрушает свои собственные ткани. При рассеянном склерозе в ходе этого процесса разрушается миелин – специальный слой, который покрывает и защищает нервные волокна головного и спинного мозга.
Миелин можно сравнить с изоляцией на электрических кабелях. Когда повреждается слой миелина, передача импульсов, которые идут по этому нерву, может быть замедлена или заблокирована.
Врачи и исследователи не понимают, почему рассеянный склероз у одних людей появляется, а у других нет. Комбинация факторов, таких как генетическая предрасположенность и детские инфекции, может сыграть определенную роль.
Факторы риска
Нижеуказанные факторы могут увеличить риск развития рассеянного склероза:
- Возраст от 20 до 40 лет. Рассеянный склероз может появиться в любом возрасте, но чаще он возникает именно в этом возрастном промежутке.
- Женский пол. Женщины страдают этой болезнью в два раза чаще, чем мужчины.
- Родственники с таким диагнозом. Если один из родителей или брат/сестра болели рассеянным склерозом, вероятность того, что человек заболеет, составляет 1-3 процента, тогда как риск заболеть в общей популяции составляет 0,1 процента. Однако исследования заболевания близнецов показывают, что наследственность не является единственным решающим фактором. Если бы рассеянный склероз был обусловлен только генетической предрасположенностью, то у однояйцовых близнецов был бы одинаковый риск возникновения заболевания. Однако у однояйцового близнеца вероятность наступления рассеянного склероза составляет лишь 30 процентов, если его близнец уже страдает этим заболеванием.
- Инфекции. Некоторые вирусы связаны с рассеянным склерозом. На сегодняшний день наибольший интерес вызывает взаимосвязь рассеянного склероза с вирусом Эпштейн-Барра, который является возбудителем мононуклеоза. Каким образом вирус Эпштейн-Барра может повышать вероятность появления рассеянного склероза остается неясным.
- Белая раса. Белые люди, особенно те, кто родился в Северной Европе, находятся в группе самого высокого риска заболеть рассеянным склерозом. Самый низкий риск у тех, кто родился в Азии, Африке или Америке.
- Наличие определенных аутоиммунных болезней. Риск появления у человека рассеянного склероза увеличивается, если он страдает болезнями щитовидной железы, диабетом первого типа или воспалением кишечника.
Осложнения
В некоторых случаях у пациентов с рассеянным склерозом могут также быть:
- Мышечная ригидность или судороги
- Паралич, чаще всего ног
- Проблемы с мочевым пузырем, кишечником или сексуальной функцией
- Изменения умственной работоспособности, такие как забывчивость или трудности с концентрацией внимания
- Депрессия
- Эпилепсия
Диагностика
Специальных анализов для выявления рассеянного склероза не проводится. В конечном итоге диагноз базируется на исключении других заболеваний, которые могли бы вызвать похожие симптомы. Ваш доктор при постановке диагноза может опираться на следующее:
Анализ крови
Анализ крови может помочь исключить некоторые инфекционные заболевания и заболевания воспалительного характера, которые имеют похожие симптомы.
Спинномозговая (люмбальная) пункция
При проведении этого исследования доктор извлекает небольшое количество спинномозговой жидкости из спинального канала для проведения лабораторного анализа. В этом образце могут быть выявлены отклонения, связанные с рассеянным склерозом, такие как аномальные уровни белых кровяных телец и иммуноглобулинов. Данный метод исследования также позволяет исключить вирусные инфекции и другие заболевания, которые могут спровоцировать неврологические симптомы, похожие на симптомы рассеянного склероза.
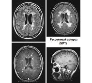
Магнитно-резонансная томография (МРТ)
Это исследование использует сильное магнитное поле и радиоволны для получения детализированных изображений внутренних органов. МРТ может выявить повреждения, указывающие на разрушение миелина в головном и спинном мозге. Однако эти типы повреждений могут быть также вызваны другими заболеваниями, такими как волчанка или болезнь Лайма, так что присутствие этих повреждений не является однозначным доказательством того, что у человека рассеянный склероз.
Анализ вызванных потенциалов.
Это исследование измеряет электрические сигналы, посылаемые головным мозгом в ответ на раздражители. Анализ вызванных потенциалов может использовать визуальные или электрические раздражители, при этом на ноги или руки посылаются краткие электрические импульсы.
Лечение
Рассеянный склероз не излечим. Лечение, как правило, нацелено на борьбу с приступами, изменение течения болезни и облегчение симптомов. У некоторых пациентов симптомы настолько незначительные, что не требуют лечения.
Тактика лечения при приступах рассеянного склероза
- Кортикостероиды. Самый распространенный вид лечения рассеянного склероза – прием кортикостероидов, способствует уменьшению воспалительного процесса, который обостряется во время приступа. Примерами служат лечение преднизолоном, назначенным перорально, и метилпреднизолоном – внутривенно. Побочные явления могут проявляться в виде повышенного кровяного давления, перепадов настроения и увеличения веса. Долгосрочное применение может спровоцировать катаракту, высокий уровень сахара в крови и повышенный риск заболеваний вирусными инфекциями.
- Плазмаферез. Метод лечения похож на диализ, поскольку механически отделяет кровяные тельца от плазмы, жидкой части крови. Плазмаферез иногда используется, чтобы помочь справиться с тяжелыми симптомами рассеянного склероза во время кризов у людей, которые не реагируют на стероиды, назначенные внутривенно.
Стратегии изменения течения болезни
- Бета-интерфероны. Такие медикаменты, как Авонекс, Бетасерон, Экставия и Ребиф замедляют скорость ухудшения симптомов рассеянного склероза. Интерфероны могут вызывать определенные побочные явления, включая повреждения печени, так что необходимо будет проводить анализы крови для контроля печеночных энзимов.
- Glatiramer (Copaxone). Глатирамер (Копаксон). Врачи считают, что глатирамер блокирует действие иммунной системы по разрушению миелинового слоя нерва. Вводится один раз в день подкожно. Среди побочных явлений появление гиперемии и затруднение дыхания после инъекции.
- Fingolimod (Gilenya). Финголимод (Гиления). Препарат принимается перорально раз в день, действие основывается на удержании иммунных клеток в лимфатических узлах. Препарат уменьшает приступы рассеянного склероза и краткосрочную нетрудоспособность. При приеме этого препарата нужно контролировать сердцебиение в течение шести часов после первой дозы, потому что первая доза может замедлить сердцебиение (брадикардия). Также у вас должен быть иммунитет против ветрянки (вирус ветряной оспы). Другие побочные явления высокое кровяное давление и размытость зрения.
- Natalizumab (Tysabri). Натализумаб (Тисабри). Этот препарат разработан, чтобы противостоять движению иммунных клеток из кровяного тока к головному и спинному мозгу. Тисабри обычно назначают людям, у которых нет результатов от другого лечения или тем, кому не подходят другие методы лечения, поскольку Тисабри увеличивает риск прогрессирующей многоочаговой лейкоэнцефалопатии инфекции головного мозга с летальным исходом.
- Mitoxantrone (Novantrone). Митоксантрон (Новантрон). Иммунодепрессант, который может быть вреден для сердца и связан с развитием рака крови, например, лейкемии. Обычно используется только в тяжелых случаях рассеянного склероза.
Стратегия лечения симптомов
- Физиотерапия. Физиотерапевт или врач по профессиональным заболеваниям обучит вас упражнениям для растяжки мышц и силовым упражнениям, покажет, как использовать приспособления, которые позволят облегчить выполнение повседневных дел.
- Мышечные релаксанты. Если человек страдает рассеянным склерозом, он может испытывать мышечную ригидность или судороги, особенно в ногах. Мышечные релаксанты, такие как баклофен и тизанидин, снижают мышечную спастичность. Баклофен усилит слабость в ногах. Тизанидин может вызвать вялость или сухость во рту.
- Способы уменьшения утомляемости. Такие препараты, как амантадин, помогут снизить утомляемость.
- Другие медикаменты. Также могут назначаться препараты от депрессии, боли или проблем с контролированием мочевого пузыря и кишечника, связанных с рассеянным склерозом.
- Некоторые другие препараты и методы лечения, такие как трансплантация стволовых клеток, для лечения рассеянного склероза пока находятся на стадии изучения.
Образ жизни и домашние средства лечения
Следующие шаги могут облегчить некоторые симптомы рассеянного склероза:
- Регулярный отдых. Утомляемость является характерным симптомом рассеянного склероза, и хотя она обычно не связана с уровнем активности человека, отдых может помочь чувствовать себя менее уставшим.
- Физическая активность. Если человек страдает рассеянным склерозом невыраженной или средней степени, регулярные аэробные упражнения могут принести улучшение в виде увеличения силы, улучшения мышечного тонуса, равновесия и координации, а также снижения депрессии.
- Охлаждение. Симптомы рассеянного склероза ухудшаются при увеличении температуры тела. Принятие прохладных ванн может снизить внутреннюю температуру тела, особенно если погрузить в воду и верхнюю часть тела.
- Сбалансированный рацион питания. Сбалансированное питание и здоровая пища поддержат иммунную систему.
- Избегайте стрессов. Поскольку стресс может спровоцировать или усилить симптомы, нужно учиться расслабляться. Йога, массаж, медитация, дыхательные упражнения или просто прослушивание музыки могут помочь.





