Что мы лечим
Аномалия Арнольда-Киари
Аномалия Арнольда-Киари
Синонимы заболевания: аномалия Киари, синдром Арнольда - Киари.
Вступление
Врачи подразделяют синдром (аномалию) Арнольда-Киари на 3 типа, в зависимости от структуры ткани головного мозга, которая перемещается в позвоночный канал, и от наличия патологии развития головного или спинного мозга.
Многие пациенты, страдающие синдромом Киари, не имеют признаков или симптомов болезни, они не требуют лечения. Заболевание выявляется только при проведении диагностики в связи с другими заболеваниями. Однако, в зависимости от типа и степени тяжести, синдром Арнольда-Киари может вызвать у больных ряд проблем.
Симптомы
- Головная боль, провоцируемая кашлем, чиханием или физическим перенапряжением
- Онемение и покалывание в кистях рук
- Нарушение температурной чувствительности в руках, частые ожоги
- Боль в затылке и шее (периодами спускающаяся к плечам)
- Неровная походка (проблемы с удерживанием равновесия)
- Слабая координация рук (мелкая моторика)
Когда необходимо обращаться к врачу
Если вы или ваш ребенок имеете какой-либо признак или симптом, которые могут быть связаны с синдромом Арнольда-Киари, обратитесь к врачу для обследования.
Поскольку многие симптомы синдрома Киари могут также ассоциироваться с другими заболеваниями, важно пройти тщательный медосмотр. Головная боль, например, может быть вызвана мигренью, заболеванием околоносовых пазух или опухолью головного или спинного мозга. Другие признаки и симптомы связаны с другими заболеваниями, например, рассеянным склерозом, карпальным синдромом, шейным остеохондрозом и грыжами в шейном отделе позвоночника.
Причины
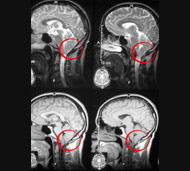
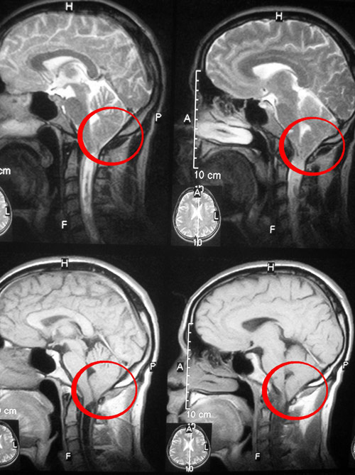
Синдром Арнольда-Киари - это аномалия развития головного мозга, при которой отдел черепа, содержащий мозжечок, является слишком маленьким или деформированным, вследствие чего происходит сдавливание мозга. Самая нижняя часть мозжечка или миндалины смещены в верхнюю часть позвоночного канала. Педиатрическая форма - синдром Арнольда-Киари III типа - всегда ассоциируется с миеломенингоцеле (грыжа спинного мозга и мозговых оболочек). Взрослая форма - синдром Киари I типа - развивается из-за недостаточно большой задней части черепа.
Когда мозжечок вдавливается в верхнюю часть позвоночного канала, он может препятствовать нормальному оттоку ликвора, который защищает головной и спинной мозг. Нарушенная циркуляция ликвора может привести к блокаде сигналов, передаваемых от головного мозга к нижележащим органам или к скоплению спинномозговой жидкости в головном мозге и спинном мозге. Давление мозжечка на спинной мозг или нижнюю часть ствола мозга может вызвать сирингомиелию.
Факторы риска
Существуют данные, что синдром Арнольда-Киари – это наследственное заболевание. Однако исследования, изучающие возможный наследственный компонент этого заболевания, находятся на ранней стадии.
Обследование и постановка диагноза
Процесс постановки диагноза начинается с опроса врача и с полного физикального обследования. Врач узнает у вас о наличии таких симптомов, как головная боль и боль в шее, попросит вас описать эту боль.
Если вы страдаете от головной боли, но причина этого симптома не ясна для врача, вас попросят пройти магнитно-резонансную томографию (МРТ), которая поможет выявить, есть ли у вас аномалия Киари.
Иногда перед обследованием необходимо ввести контрастное вещество, с помощью которого, при его попадании в мозг, повышается контрастность и четкость изображения. МРТ – это безопасный и безболезненный метод. В последующем с помощью повторной МРТ можно будет вести мониторинг прогрессирования этого заболевания.
Осложнения
У некоторых пациентов синдром Арнольда-Киари может стать прогрессирующим заболеванием и привести к серьезным осложнениям. У других симптомы, связанные с этим заболеванием, могут не возникнуть и вмешательства не потребуется.
Осложнения, связанные с этим заболеванием, включают:
- Гидроцефалию. Это накопление избыточной жидкости в головном мозге может потребовать размещения гибкой трубки (шунта) для отведения и дренирования спинномозговой жидкости в другую часть организма.
- Паралич. Паралич может развиться в связи со сдавливанием спинного мозга. Паралич может сохраниться даже после проведения операции.
- Сирингомиелию. У некоторых пациентов, страдающих от синдрома Арнольда-Киари, развивается заболевание, называемое сирингомиелией, при котором в позвоночнике образуется полость или киста (патологическая полость в головном или спинном мозге). Хотя механизм связи синдрома Киари с сирингомиелией не ясен, он может ассоциироваться с травмой или смещением нервных волокон в спинной мозг. При образовании полости она наполняется жидкостью и может нарушить работу спинного мозга.
Лечение
Лечение при аномалии Арнольда - Киари зависит от степени тяжести и состояния больного. При отсутствии симптомов врач может назначить вам в качестве лечения лишь наблюдение с регулярными осмотрами.
Если первичными симптомами являются головная боль или другие виды боли, врач может рекомендовать обезболивающие средства. Некоторым пациентам облегчение приносит прием противовоспалительных препаратов. Это может предотвратить или отсрочить проведение операции.
Оперативный метод снижения давление
Чаще всего врачи предпочитают проводить лечение аномалии Арнольда - Киари хирургическим методом. Цель операции – остановить прогрессирование изменений в структуре мозга и позвоночника, а также стабилизировать симптомы. При успешном исходе операции снижается давление на мозжечок и спинной мозг и восстанавливается нормальный отток ликвора.
Во время самой распространенной операции при аномалии Арнольда - Киари – называемой краниэктомией задней черепной ямки или декомпрессией задней черепной ямки – хирург удаляет небольшой фрагмент кости в задней части черепа, снижая давление и обеспечивая больше пространства для мозга. Техника проведения операции может быть разной, это зависит от наличия или отcутствия гидроцефалии. Мы пользуемся методикой Генри Марша (Лондон). Операция занимает 1-2 часа, на восстановление обычно уходит 5-7 дней.






