Что мы лечим
Опухоль головного мозга
Опухоль головного мозга
Синонимы заболевания: опухоль головы, опухоль мозга, рак мозга.
Вступление
Существует много разновидностей опухолей головного мозга. Некоторые опухоли являются доброкачественными, а некоторые злокачественными. Опухоль может начать свое развитие в тканях головного мозга (первичные опухоли головного мозга) или злокачественный рост может начаться в других органах организма и распространиться в мозг (вторичные, метастатические опухоли головного мозга).
Количество опухолей головного мозга, диагностируемых каждый год, растет. Особенно рост количества опухолей происходит в течение последних десятилетий. Но причины этого не известны.
Симптомы
Признаки и симптомы опухоли головного мозга разнообразны, они зависят от размера опухоли, ее локализации и скорости роста.
Общие признаки и симптомы, вызываемые опухолью головного мозга:
- головная боль или изменения в обычной картине головной боли (головные боли при опухолях со временем становятся более частыми и сильными, усиливаются в лежачем положении или после сна);
- необъяснимые приступы тошноты или рвоты;
- проблемы со зрением, расфокусированное зрение, двоение или потеря периферического зрения;
- постепенная потеря осязания или ощущений в руке или ноге;
- сложности при соблюдении равновесия;
- нарушения речи;
- трудности при выполнении повседневных дел;
- личностные или поведенческие изменения;
- судороги, в частности, у пациентов, у которых ранее они не наблюдались;
- нарушения слуха;
- гормональные (эндокринные) расстройства;
- спутанность сознания, сонливость, оглушение, сопор, мозговая кома.
Причины
Первичные опухоли головного мозга начинают свой рост в тканях головного мозга или в пограничных участках, например, в оболочках головного мозга, черепно-мозговых нервах, гипофизе или шишковидном теле. Первичные опухоли головного мозга начинают развиваться, когда нормальные клетки сталкиваются с ошибками (мутациями) в ДНК. Эти мутации приводят к тому, что клетки начинают делиться и расти с повышенной скоростью и продолжают существовать даже тогда, когда здоровые клетки должны бы погибнуть. Это приводит к развитию новообразования патологических клеток, формирующих опухоль.
Первичные опухоли головного мозга менее распространенное явление, чем вторичные опухоли головного мозга, при которых опухолевый процесс начинается в другом органе организма и распространяется на мозг. Существует много разновидностей первичных опухолей головного мозга. Классификация первичных опухолей основана на типе тканей, из которых исходит сама опухоль.
Например:
- невринома слухового нерва (шваннома);
- астроцитома;
- глиома и глиобластома;
- эпендимома;
- эпендимобластома;
- медуллобластома;
- менингиома;
- нейробластома;
- олигодендроглиома;
- пинеобластома.
Вторичные опухоли головного мозга
Вторичные (метастатические) опухоли головного мозга – это опухоли, возникающие вследствие злокачественного процесса, который начинает свое развитие в любом органе организма, а затем распространяется (метастазирует) в головной мозг. В некоторых случаях рак возникает задолго до того, как выявляется опухоль головного мозга. В других случаях опухоль головного мозга – это первый признак рака, который начал развиваться в каком-либо другом органе организма.
Вторичные опухоли головного мозга являются более распространенным явлением, чем первичные опухоли головного мозга.
Любая разновидность злокачественной опухоли может распространиться в головной мозг, но самые распространенные виды включают:
- рак молочной железы;
- рак толстой кишки;
- рак почки;
- рак легких;
- меланому;
- нейробластому;
- саркому.
Факторы риска
Хотя врачи не уверены в том, что вызывает генетические мутации, которые могут привести к развитию первичных опухолей головного мозга, они выявили факторы, которые могут повысить риск возникновения опухоли головного мозга. К факторам риска относятся:
Возраст. Риск возникновения опухоли головного мозга возрастает с возрастом. Большинство опухолей головного мозга возникает у людей от 45 лет и старше. Однако опухоль головного мозга может появиться в любом возрасте. А некоторые опухоли головного мозга, такие как медуллобластомы или доброкачественные астроцитомы мозжечка, развиваются главным образом только у детей.
Подверженность воздействию радиации. Лица, подверженные воздействию ионизирующей радиации, имеют повышенный риск развития опухоли головного мозга. К примерам ионизирующей радиации относится лучевая терапия, используемая для лечения рака и облучение, вызванное воздействием атомных бомб, а также техногенные катастрофы с возникновением радиоактивного облучения. Более распространенные формы радиации, такие как электромагнитные поля от линий высокого напряжения, радиоизлучения от мобильных телефонов и микроволновых печей, оказались недоказанными факторами, индуцирующими рост опухолей головного мозга.
Подверженность воздействию химических веществ на рабочем месте. Лица, работающие на определенных предприятиях, находятся в группе повышенного риска развития опухолей головного мозга, возможно по причине контакта с химическими веществами, воздействию которых они подвергаются на рабочем месте. Исследования не всегда подтверждают эту информацию, но существуют некоторые факты повышенного риска развития опухолей головного мозга на предприятиях определенных отраслей, включая сельское хозяйство, электротехническую промышленность, здравоохранение и нефтеперерабатывающую промышленность.
Семейный анамнез опухолей головного мозга. Небольшая часть опухолей головного мозга возникают у людей, имеющих семейный анамнез опухолей головного мозга или семейный анамнез генетических синдромов, повышающих риск развития опухолей головного мозга.
Когда следует обращаться к врачу
Если у вас наблюдается один или более признаков и симптомов опухоли головного мозга, вам необходимо обратиться к врачу. Это могут быть усиливающиеся приступы головной боли, имеющие особенно тяжелый характер, возникающие в одном и том же месте или сопровождающиеся тошнотой, рвотой, расфокусированным зрением или двоением в глазах.
Обследование и постановка диагноза
Если предполагается развитие опухоли головного мозга, врач порекомендуем вам пройти такие диагностические процедуры:
Неврологическое обследование. Неврологическое обследование может включать, среди прочего, проверку остроты зрения, слуха, равновесия, координации и рефлексов. Проблемы, возникшие в той или иной области, подскажут, какие части головного мозга могут быть подвержены воздействию опухоли.
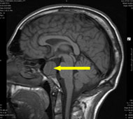
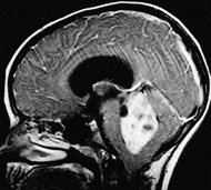
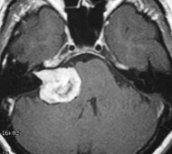
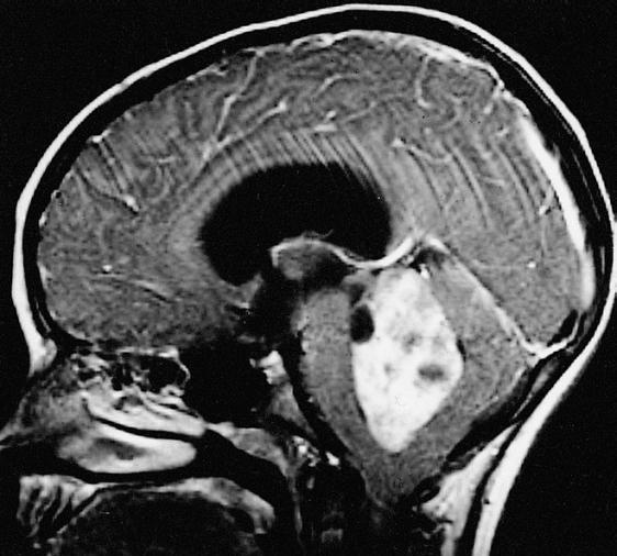
Процедуры визуализации. Магнитно-резонансная томография (МРТ) обычно применяется для постановки диагноза при опухолях головного мозга. Во время МРТ используются магнитные поля и радиоволны, которые генерируют изображение головного мозга. В некоторых случаях в вену руки вводится контрастное вещество до начала проведения МРТ. Несколько специальных изображений МРТ могут помочь врачу оценить ситуацию и назначить план лечения, включая проведение функциональной МРТ, перфузионной МРТ и магнитно-резонансной спектроскопии.
Исследования для выявления рака, возникшего в других органах организма. Если предполагается, что опухоль головного мозга может возникнуть вследствие рака, распространяющегося из другой части организма, врач может рекомендовать диагностические процедуры для определения места возникновения рака. Как пример, это может быть рентген грудной клетки для обнаружения признаков рака легких.
Забор и анализ образцов патологической ткани (биопсия). Биопсия может быть проведена как часть операции по удалению опухоли головного мозга или биопсию могут проводить с применением иглы. Стереотаксическая пункционная биопсия выполняется для опухолей в труднодоступных или очень чувствительных зонах головного мозга, которые могут быть повреждены при проведении более обширной операции. При биопсии нейрохирург просверливает в черепе небольшое фрезевое отверстие. Затем через него вводится узкая длинная игла. С помощью этой иглы производится забор образца ткани. Часто проведение этой процедуры проводится под навигационным контролем.
Взятый образец затем анализируется под микроскопом для определения его доброкачественности или злокачественности. Эта информация помогает при проведении лечения.
Осложнения
Опухоль головного мозга может вызвать различные осложнения, в зависимости от области поражения головного мозга. К осложнениям могут относиться:
Слабость. Опухоль головного мозга может разрушить любую часть мозга. Но если пораженная часть головного мозга контролирует силу или движения руки или ноги, это может вызвать слабость в данном органе организма. Слабость, вызванная опухолью головного мозга, может быть очень похожа на слабость, вызванную инсультом.
Изменения остроты зрения. Опухоль головного мозга, поражающая зрительные нервы или ту часть головного мозга, которая обрабатывает визуальную информацию (зрительная зона коры), может вызвать возникновение проблем со зрением, например, двоение в глазах или уменьшенное поле зрения.
Головные боли. Опухоль головного мозга, вызывающая повышенное давление в головном мозге, может стать причиной головных болей. Это могут быть сильные и неослабевающие головные боли, которые сопровождаются тошнотой и рвотой. Головные боли могут быть вызваны самой опухолью или быть следствием скопления жидкости в головном мозге (гидроцефалия).
Личностные изменения. Опухоли в некоторых областях головного мозга могут вызвать личностные изменения или изменения в поведении.
Потеря слуха. Опухоли головного мозга, воздействующие на слуховые нервы, особенно невриномы слухового нерва, могут вызвать потерю слуха уха со стороны пораженной части головного мозга
Судороги. Опухоль головного мозга может вызвать раздражение головного мозга, что приводит к судорогам.
Мозговая кома является финальным осложнением опухолей головного мозга и заканчивается смертью.
Лечение
Лечение опухоли головного мозга зависит от типа, размера и локализации опухоли, а также от общего состояния здоровья и предпочтений пациента. Врач может назначить такое лечение, которое будет соответствовать ситуации конкретного пациента.
Операция
Если опухоль головного мозга расположена в месте, доступном для проведения операции, хирург постарается удалить всю опухоль настолько, насколько это возможно. В некоторых случаях опухоли являются небольшими по размеру и их можно легко отделить от окружающей головной мозг ткани, что делает операцию по полному удалению опухоли оправданной. В других случаях опухоли расположены около чувствительных зон в головном мозге, что делает операцию рискованной. В таких случаях врач может попытаться удалить опухоль настолько, насколько это безопасно. Удаление даже части опухоли головного мозга может помочь ослабить признаки и симптомы заболевания. В некоторых случаях берется лишь небольшая биопсия для подтверждения диагноза.
Операция по удалению опухоли головного мозга имеет некоторый риск, например риск развития инфекции и кровотечения. Другие виды риска могут зависеть от той зоны головного мозга, в которой расположена опухоль. Например, операция на опухоли, расположенной около глазных нервов может нести риск потери зрения.
Операции при опухолях головного мозга проводят под операционным микроскопом при использовании навигационного оборудования, современного анестезиологического обеспечения и ультразвукового аспиратора.
Лучевая терапия
Лучевая терапия использует лучи высокоэнергичных частиц, например, рентгеновские лучи для уничтожения клеток опухоли. Лучевая терапия может исходить из аппарата, размещенного вне тела пациента (дистанционная лучевая терапия) или в очень редких случаях источник излучения может быть размещен в организме пациента рядом с опухолью головного мозга (близкофокусная лучевая терапия).
Дистанционная лучевая терапия может фокусироваться только на область головного мозга, где расположена опухоль или же она может воздействовать на весь головной мозг (облучение всего мозга). Облучение всего мозга иногда используется после операции, чтобы убить опухолевые клетки, которые возможно не были удалены. Облучение всего мозга может использоваться как вариант лечения при наличии нескольких неоперабельных опухолей головного мозга. Облучение всего мозга часто применяется в ситуациях, когда метастазы рака распространились в головной мозг.
Побочные эффекты лучевой терапии зависят от типа и дозы полученного пациентом облучения. Обычно может появиться чувство усталости, головные боли, слабость и раздражение кожи головы.
Сегодня известны новые методики дистанционного облучения с помощью гамма-ножа, линейного ускорителя и кибер-ножа.
Химиотерапия
При химиотерапии применяются лекарственные препараты, убивающие клетки опухоли. Препараты для химиотерапии можно принимать перорально или их вводят в вену (внутривенное введение), таким образом, они проходят по всему организму. Препараты для химиотерапии также могут вводиться в позвоночник, таким образом, лечение воздействует только на центральную нервную систему пациента.
Существует еще один вид химиотерапии, когда препарат вводится во время операции. При удалении всей или части опухоли головного мозга хирург может разместить одну или несколько дискообразных капсул в свободное пространство, оставшееся после опухоли. Эти капсулы медленно высвобождают химиотерапевтический препарат в течение последующих нескольких дней.
Побочные эффекты химиотерапии зависят от типа и дозы принимаемого препарата. Системная химиотерапия может вызвать тошноту, рвоту и выпадение волос.
Реабилитация после курса лечения
Реабилитация может являться необходимой частью восстановления, поскольку опухоли головного мозга могут развиваться в тех областях мозга, которые контролируют моторику, речь, зрение и мышление. Иногда головной мозг может сам восстановиться после травмы или процесса лечения опухоли головного мозга, но это требует времени и терпения.
Реабилитация когнитивных функций может помочь справиться с потерей или восстановить потерянные когнитивные способности.
Физиотерапия может помочь восстановить потерянные двигательные навыки или мышечную силу.
Восстановление трудоспособности может помочь пациенту вернуться к работе после лечения опухоли головного мозга или другого заболевания.
Тематические статьи
- Сложная опухоль головного мозга и опухоль спинного мозга были удалены в Международном центре нейрохирургии
- Аневризма и опухоль мозга у одного пациента
- 25 сложных оперативных вмешательства на мозге было выполнено совместно с американским нейрохирургом в Международном центре нейрохирургии (Киев)
- В Международном центре нейрохирургии успешно удалена одна из самых сложных опухолей головного мозга
- Особенности лечения опухолей головного мозга
- Опухоль гипофиза
- Опухоль мосто-мозжечкового угла
- Синдром Кушинга, как осложнение опухоли гипофиза
- Менингиома: особенности диагностики и лечения















